Марик и 15 других экспертов, включая специалиста по патологии Райана Коула, соучредителя FLCCC, доктора Пьера Кори и Стива Кирша, основателя Фонда исследований безопасности вакцин, представили свои исследования и выводы.
Мероприятие, задуманное как образовательная конференция для практикующих врачей, привлекло медицинских работников со всей страны, включая Флориду, Нью-Йорк, Техас, Вашингтон, Вирджинию и многие другие.
Присутствовали также несколько иностранных врачей, в том числе из Австралии и Филиппин.
Эндокринолог Флавио Кадегиани из Бразилии был и участником, и докладчиком. Вечером накануне конференции был организован ужин для участников с целью налаживания контактов.
Поствакцинальный синдром — это «мультисистемный синдром… это не болезнь», — сказал доктор Марик. Состояние не соответствует модели заболевания, и поэтому вместо лечения симптомов необходимо комплексно лечить весь организм.

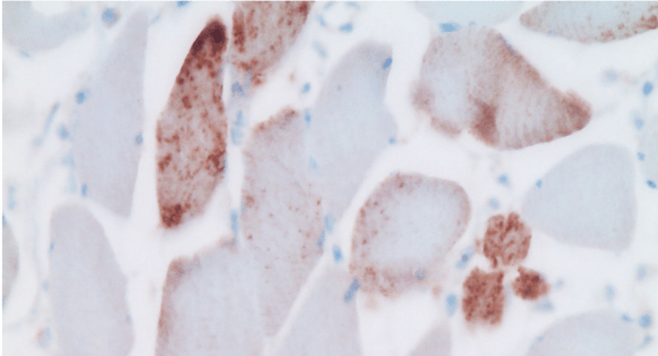
Экспрессия белка спайк в мышцах плеча после введения вакцины. (Michael Palmer, MD, Suharit Bhakdi, MD)
Спайковая травма: Мультисистемное заболевание
Это заболевания, вызванные длительным воздействием спайк-протеинов (шиповидными белками). Пациенты могут подвергаться воздействию этих белков-шипов в результате инфекции (длительный COVID) или вакцинации от COVID-19 (синдром поствакцинального повреждения).
Поскольку оба заболевания вызываются одним и тем же стимулом, механизм и симптомы в значительной степени совпадают, часто поражаются несколько тканей и органов.
Спайковые белки довольно малы, поэтому могут перемещаться по кровеносным сосудам. Они вызывают сильное воспаление с явными признаками аутоиммунитета и проникновения через гематоэнцефалический барьер и могут вызывать заболевания в ряде систем и органов.
Коул представил результаты биопсии, которые показали наличие шиповидного белка и воспаление в мелких кровеносных сосудах, мышцах, сердечной мышце, тканях мозга, лёгких, селезёнке и многих других органах.
В большинстве биоптатов были представлены повреждённые клетки, которые экспрессировали только спайковый белок, а не другие белки SARS-CoV-2. Это предполагает, что повреждения спайками вызваны вакцинацией, а не естественной инфекцией, потому что при инфекции помимо белка спайка присутствуют другие белки SARS-CoV-2, включая нуклеокапсидные белки.
Выводы Коула легли в основу лекции Марика о симптомах и вариантах лечения длительного COVID и синдрома поствакцинальной травмы.
Оценив данные опроса React19, проведённого среди людей, подозревающих вакцинальную травму, Марик выявил наиболее распространённые симптомы заболеваний, вызванных спайковым белком.
К ним относились усталость, непереносимость физических нагрузок, туман в голове, учащённое сердцебиение, мышечная слабость, покалывание, головокружение, боли в мышцах, нарушения сна и боли в суставах.

Слайды доктора Пола Марика, представленные на конференции FLCCC в Орландо, Флорида (любезно предоставлено FLCCC)
«Хотите, верьте, хотите, нет… среднее количество симптомов, о которых сообщается, составляет 23», — говорит Марик.
Однако, поскольку большинство пациентов жалуются на обширный список симптомов, не встречающихся ни при одном заболевании, «пациенты приходят к врачу со всеми этими жалобами…, а врач говорит, что всё это у вас в голове».
Марик сказал, что многие пациенты, таким образом, направляются к психиатрам, а не к врачам, которые понимают и могут лечить их болезнь.
«Пострадавших от вакцинации огромное количество, — добавил Кори, — их число огромно… им оказывается недостаточная помощь, и их потребности не удовлетворяются».

Ресвератрол — это соединение, содержащееся в кожице винограда, синих и фиолетовых ягодах и тёмном шоколаде, которое помогает растениям противостоять болезням и стрессовым факторам окружающей среды. (Danijela Maksimovic/Shutterstock)
Варианты лечения
Помимо ивермектина и спермидина, Марик рекомендовал низкую дозу налтрексона, распространённого препарата при передозировке у наркоманов.
В то время как некоторые врачи жаловались на то, что рецепты на ивермектин контролируются, налтрексон — препарат, не попавший под запрет.
Исследования показали, что в малых дозах налтрексон может уменьшить воспаление, которое является основной причиной болезни шиповидного белка, а также уменьшить общие симптомы, включая затуманенность сознания и нейропатические симптомы.
Несмотря на высокую эффективность этих препаратов, Марик, Кори и многие другие врачи призывают к персонализированной и ориентированной на пациента медицине, когда дозировка и режим лечения корректируются в зависимости от симптомов и потребностей пациента.
Кори перечислил шесть различных стратегий лечения заболеваний, вызванных спайковым белком.
Шесть стратегий: изгнание белка-шипа, уменьшение воспаления, уменьшение микросвёртывания крови, уменьшение активации тучных клеток, уменьшение персистенции или активации вирусов и восстановление митохондрий.

Слайды доктора Пьера Кори, представленные на конференции FLCCC в Орландо, Флорида (Courtesy of the FLCCC)
В каждой стратегии применяются комбинации различных препаратов и методов лечения.
Исходя из симптомов пациента, Кори назначал различные методы лечения. Например, пациенту, жалующемуся на свёртываемость крови, назначаются антикоагулянты, а пациенту, жалующемуся на хроническую усталость, могут быть назначены препараты для улучшения работы митохондрий.
Очистка от спайк-белка
Чтобы очистить организм от спайк-протеина, врачи FLCCC рекомендовали препараты и образ жизни для улучшения аутофагии.
Аутофагия — это естественный клеточный процесс, в ходе которого старые части клеток разрушаются и используются повторно, что может помочь очистить организм от спайк-протеина.
Рекомендуемые изменения образа жизни включают прерывистое голодание, когда человек голодает не менее 16 часов подряд, и сон.
Препараты, стимулирующие или усиливающие аутофагию, включают спермидин, ресвератрол и ивермектин.
Альтернативные методы лечения
Также обсуждалось множество альтернативных методов лечения, направленных на улучшение восстановления клеток и уменьшение воспаления.
Доктор Пол Харч сосредоточился на гипербарической кислородной терапии — восстановительном лечении, при котором человек подвергается воздействию воздуха под давлением, содержащего повышенную концентрацию кислорода.
Харч использовал эту терапию для лечения хронических ран, включая давние травмы мозга, путём уменьшения воспаления.
В 2017 году Харч в соавторстве написал работу об устранении травмы мозга у чуть не утонувшего малыша. После 40 сеансов лечения гипербарическим кислородом черепно-мозговая травма практически полностью исчезла.
Исследования показали, что повышение концентрации кислорода уменьшает воспаление, а повышение давления увеличивает воспаление. Баланс между кислородом и давлением может уменьшить действие воспалительных цитокинов и ускорить восстановление ран.
Харч добавил в вопросах и ответах, что кислородная терапия может помочь при повреждении мозга из-за недостатка кислорода при рождении.
«Это всё ещё старая рана, и лечение, которое мы проводили, направлено на лечение хронических ран, — сказал Харч. — Я полностью согласен с этим, но я написал книгу много лет назад… о том, что вы не можете доверять медицинской профессии на институциональном уровне, чтобы сделать то, что правильно для вас».
Доктор Ашер Милгром, генеральный директор AMA Regenerative Medicine & Skincare Inc., в предварительно записанном видеоролике предложил варианты озонотерапии для улучшения митохондриальной дисфункции — распространённой причины усталости.
Озон, который обычно не встречается при нормальном атмосферном уровне, улучшает выработку энергии.
Озон содержит три атома кислорода, а не два, как это обычно бывает в молекулах кислорода. Поскольку митохондрии используют кислород для производства энергии, наличие дополнительного атома кислорода может улучшить производство энергии и снизить усталость.

Лечение рака становится всё более персонализированным. (Shutterstock)
Перестройка на персонализированную медицину, ориентированную на пациента
Доктор Марик сказал, что первая конференция FLCCC — это первый шаг в их миссии по перестройке системы здравоохранения на персонализированную, ориентированную на пациента медицину, что является центром их подхода к лечению заболеваний, вызванных белками-шипами.
«Мы нашли новый подход к медицине, который является альтернативной системой здравоохранения, — говорит Марик, — Нынешняя система — это полный и абсолютный провал. Они лгали нам; они коррумпированы, их не интересует ваше здоровье».
«Теперь мы поняли, что должны сделать это сами; мы можем построить что-то лучшее, и я думаю, что это первый шаг нашей миссии».
Марик и Кори рассчитывают на проведение будущих конференций, следующая запланирована через 6 месяцев.
Epoch Health опубликует серию статей с подробным описанием некоторых методов лечения, предложенных на конференции.
Запись конференции будет доступна для приобретения на сайте FLCCC.
Марина Чжан освещает вопросы здравоохранения и науки в The Epoch Times
__________
Чтобы оперативно и удобно получать все наши публикации, подпишитесь на канал Epoch Times Russia в Telegram









































